A broken tooth can happen in a split second—during a sports game, a fall, or even while biting into something unexpected. In some cases, the damage is minor and may barely be noticeable, but in others, a break can expose sensitive inner layers of the tooth, leading to sharp pain, swelling, or even infection. The uncertainty of not knowing how serious the damage is can be stressful, especially when pain starts to affect your daily routine. The good news is that many broken teeth can be saved if treated quickly. Knowing the warning signs, causes, and treatment options can help you act fast and protect your smile before the problem becomes more complicated.
Table of Contents
- What Is a Broken Tooth?
- What Broken Tooth Pain Usually Feels Like
- Common Causes of Broken Tooth Pain
- Broken Tooth Treatment Options
- What to Do Immediately After a Tooth Breaks
- Is It a Crack or a Break? Understanding Tooth Damage
- FAQs About Broken Tooth Pain
- Final Thoughts
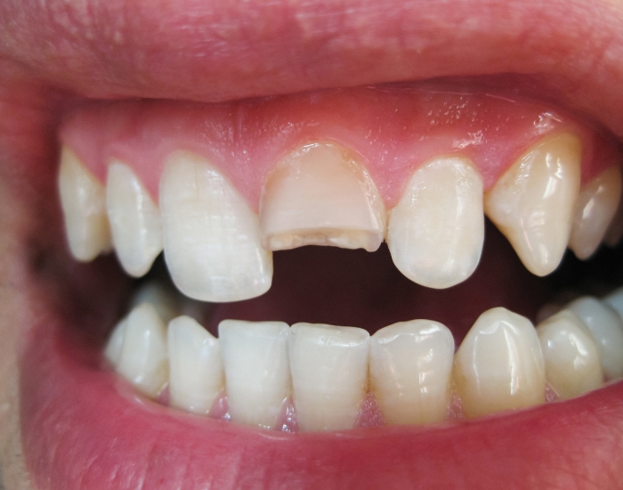
1. What Is a Broken Tooth?
A broken tooth refers to any fracture or damage to the tooth structure that affects the outer enamel, inner dentin, or even the sensitive pulp. Tooth damage can range from minor chips and hairline cracks to deep fractures that reach the nerve. This damage can occur due to a sudden impact, long-term pressure, or weakened tooth structure. Even if a break looks small or painless, it can still lead to serious complications if not evaluated by a dentist. Tiny cracks may worsen over time, and hidden damage could be present beneath the surface. Because of this, a broken tooth should always be examined promptly to determine the full extent of the damage and prevent future issues.
2. What Broken Tooth Pain Usually Feels Like
Symptoms of a broken tooth can vary widely depending on the location and depth of the fracture. Some people experience immediate sharp pain when biting or chewing, especially when pressure is applied. Others may notice sensitivity to hot or cold foods and drinks, which often signals that the inner layers of the tooth are exposed. Swelling, tenderness, or irritation around the affected tooth and gums may also develop as the injury worsens. In many cases, a visible crack or missing piece of the tooth may be noticed, but sometimes the damage is not obvious to the naked eye. When a fracture reaches the tooth’s pulp, the nerve can become irritated, causing persistent pain even without any external stimulus. This increases the risk of infection and further complications.
3. Common Causes of Broken Tooth Pain
Broken tooth pain can develop for several reasons, and understanding the cause can help prevent future damage. One of the most common causes is dental trauma, such as a fall, sports injury, or accident, which can crack or split the tooth instantly. Another frequent cause is biting down on hard foods or objects, including ice, hard candy, or bones. Teeth weakened by decay or large fillings are more prone to fractures because the structure becomes less stable. Grinding or clenching teeth, also known as bruxism, can slowly wear down enamel and create cracks over time due to constant pressure. Age-related wear and thinning enamel can also make teeth more vulnerable to breaking, even during normal daily activities.
4. Broken Tooth Treatment Options
Treatment for a broken tooth depends on the severity of the fracture and whether the inner pulp is affected. For minor chips or cracks, a dentist may smooth rough edges or use dental bonding to restore the tooth’s appearance and function. Larger fractures often require a dental crown to cover and protect the tooth, preventing further damage and restoring strength. If the fracture reaches the pulp or causes infection, a root canal procedure may be necessary to remove damaged tissue, disinfect the area, and seal the tooth. In cases where the tooth is severely damaged or cannot be saved, extraction may be the best option to prevent ongoing pain and infection. A dentist will evaluate the condition using clinical exams and imaging to determine the most appropriate treatment plan for each individual case.
5. What to Do Immediately After a Tooth Breaks
Broken tooth emergency care should be taken seriously, especially when the pain is sharp or sudden, or when the tooth looks visibly damaged. The first priority is to reduce pain and swelling while you arrange professional care. Rinsing the mouth gently with warm water can help clean the area, while a cold compress applied to the cheek may reduce swelling and discomfort. It’s important to avoid chewing on the affected side and to stay away from extremely hot or cold foods, as these can worsen sensitivity.
If a tooth fragment is found, it’s helpful to save it and bring it to the dentist, as it may be possible to reattach or use it for restoration. While these steps can help manage symptoms temporarily, emergency dental care is essential. Prompt treatment not only helps prevent infection but also significantly increases the chances of saving the tooth and avoiding more complex procedures.
Emergency care tips you can follow immediately include:
- Rinse the mouth with warm water to clean the area
- Apply a cold compress to reduce swelling
- Avoid chewing on the injured side
- Avoid hot or cold foods that may worsen pain
- Save any tooth fragments and bring them to the dentist
- Seek urgent dental care as soon as possible
6. Is It a Crack or a Break? Understanding Tooth Damage
A cracked tooth and a broken tooth may look similar, but they are not the same condition. A cracked tooth usually refers to a fracture that starts on the chewing surface and extends toward the root, but the tooth may still remain intact as one piece. This type of damage can cause pain, especially when chewing or when exposed to temperature changes. A broken tooth, however, typically involves a visible piece breaking off or a significant fracture that compromises the tooth structure.
Both cracked and broken teeth can lead to sensitivity and discomfort, but a broken tooth is more likely to expose the inner pulp, which increases the risk of infection. Because the symptoms can be similar and the damage may not always be visible, a professional dental exam is essential for an accurate diagnosis. A dentist will assess the extent of the fracture and recommend the most appropriate treatment to protect the tooth and prevent further complications.
Key differences to remember:
- Cracked tooth: fracture line may not break the tooth into pieces
- Broken tooth: visible piece or major structural damage
- Both can cause pain and sensitivity
- Broken teeth more commonly expose the pulp
- Dental examination is required for accurate diagnosis
7. FAQs About Broken Tooth Pain
1. What does broken tooth pain feel like?
Broken tooth pain often feels sharp or throbbing, especially when biting or exposed to hot and cold.
2. Can a broken tooth heal on its own?
No, a broken tooth cannot repair itself naturally. Professional treatment is needed to restore structure and prevent infection.
3. Is a broken tooth an emergency?
It can be, especially if there is severe pain, swelling, or visible damage. Prompt dental care is recommended.
4. How long can I wait to treat a broken tooth?
It is best to seek dental care within 24 hours to prevent complications and improve the chance of saving the tooth.
5. Can a cracked tooth turn into a broken tooth?
Yes, a crack can worsen over time due to chewing pressure or grinding, eventually leading to a broken tooth.
8. Final Thoughts
Broken tooth pain is a serious issue that requires timely dental attention. While some fractures may seem minor, even small breaks can lead to infection, sensitivity, and further damage if left untreated. Understanding the symptoms and treatment options helps patients make informed decisions and seek prompt care. With early intervention, many broken teeth can be restored successfully, protecting both appearance and oral function.
If you are experiencing broken tooth pain or have a cracked tooth, seeking professional care is essential to prevent further damage. Walk-In Dental Clinic offers prompt evaluations and effective treatment options to help restore your dental health.
Disclaimer: This blog is for informational purposes only and does not replace professional dental advice, diagnosis, or treatment. Always consult a qualified dental professional regarding any tooth pain or dental injury.




